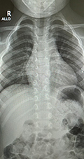
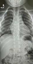
A veleszületett gerincferdülés tekintetében
Congenitalis scoliosis (veleszületett gerincferdülés) esetén a gyermekeket általában konzervatív úton (fűző, gyógytorna, egyéb fejlesztés) nem kezelik, ezek nem szükségesek (nem hatásosak). Dévény-torna, más terápia nem szükséges, hiszen ezek a csontos struktúrát nem befolyásolják. Alapvetően mindig a gerincsebész szakember egyénileg dönt a kezelésről. Érdemi kezelés (megfigyelés) a gyermek stabil állása után, egyéves kor körül kezdhető.
A kezelés menete, kezelési módok